Cara Mengatasi Open Bite: Panduan Menuju Senyum Sehat
Daftar Isi
- Open Bite: Definisi, Jenis, dan Penyebab
- Cara Mengatasi Open Bite: Metode Perawatan
- Apa Saja Pilihan Perawatan dengan Aligner Paraiba White?
- Open Bite pada Anak: Apa yang Perlu Diperhatikan?
- Apakah Open Bite Dapat Menyebabkan Masalah Lain?
1. Open Bite: Definisi, Jenis, dan Penyebab
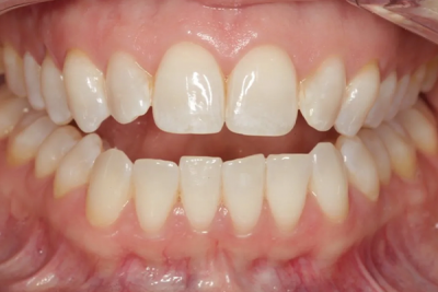
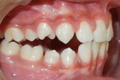
Secara normal, seseorang dengan gigitan ideal (occlusion) memiliki gigi atas dan bawah yang sejajar dan bersentuhan saat mulut tertutup. Open bite adalah kondisi ketika gigi atas dan bawah tidak bersentuhan (baik di depan maupun belakang), sehingga terlihat celah saat mulut ditutup sepenuhnya.
Jenis-Jenis Open Bite:
1. Anterior Open Bite
Anterior open bite terjadi saat gigi depan atas dan bawah tidak bertemu saat menggigit, meninggalkan celah di depan meskipun rahang tertutup. Biasanya, gigi depan atas menutupi sekitar sepertiga dari gigi bawah. Kondisi ini dapat memengaruhi senyum, kesulitan menggigit makanan seperti apel, dan bisa menyebabkan kesulitan berbicara atau cadel.

2. Posterior Open Bite
Posterior open bite terjadi saat gigi belakang tidak bertemu saat menggigit, tetapi gigi depan bersentuhan. Hal ini bisa menyebabkan kesulitan mengunyah makanan karena tidak ada kontak pada bagian belakang gigi.

Penyebab Open Bite
Open bite dapat disebabkan oleh kebiasaan mulut sejak kecil atau faktor genetik.
Beberapa penyebab umum:
- Mengisap jempol: Jika dilakukan setelah usia 4 tahun, bisa memengaruhi pertumbuhan gigi.
- Tongue thrusting: Dorongan lidah ke depan saat menelan atau berbicara dapat mendorong gigi depan.
- Penggunaan dot yang berlebihan: Kebiasaan ini juga bisa mengganggu posisi gigi dan menyebabkan open bite.
Apakah Open Bite Umum?
Open bite tergolong kondisi yang relatif jarang. Berdasarkan jurnal American Journal of Orthodontics and Dentofacial Orthopedics, prevalensinya berkisar antara 0,6% hingga 16,5%, tergantung pada wilayah dan populasi.
2. Cara Mengatasi Open Bite: Metode Perawatan
Clear Aligners
Aligners adalah alat lepasan transparan yang didesain khusus untuk memberi tekanan ringan dan terus-menerus, sehingga gigi bergerak ke posisi yang tepat secara bertahap.
Braces (Kawat Gigi)
Metode konvensional untuk menangani berbagai jenis maloklusi, termasuk open bite. Braket dipasang di gigi dan kawat logam digunakan untuk menggerakkan gigi.
Bedah Rahang (Surgery)
Untuk open bite yang disebabkan oleh masalah kerangka (skeletal), dibutuhkan operasi rahang. Biasanya dikombinasikan dengan penggunaan braces atau aligners.
TADs (Temporary Anchorage Devices)
Implan mini dari titanium yang dimasukkan ke dalam tulang rahang untuk membantu perawatan ortodontik seperti intrusi gigi belakang guna mengoreksi anterior open bite.

Berapa Lama Perawatan Open Bite?
Durasi tergantung pada tingkat keparahan kasus. Untuk kasus ringan, perawatan dengan clear aligners dapat memakan waktu 8–12 bulan.
3. Apa Saja Pilihan Perawatan dengan Aligner Paraiba White?
Ekstrusi Gigi Depan
Dengan bantuan attachment khusus, Aligner Paraiba White dapat mendorong gigi depan keluar (extrusion) guna menutup celah open bite di bagian depan. Elastik bisa digunakan jika diperlukan.
Intrusi Gigi Belakang
Untuk mendorong gigi belakang masuk ke dalam tulang rahang, digunakan attachment HRB (Horizontal Rectangular Beveled). Dokter juga bisa menyarankan penggunaan TADs untuk meningkatkan keberhasilan perawatan.

4. Open Bite pada Anak: Apa yang Perlu Diperhatikan?
Kapan Anak Bisa Mulai Perawatan?
Disarankan memulai perawatan sejak usia 8 tahun, saat rahang masih dalam masa pertumbuhan. Semakin dini ditangani, semakin mudah perawatannya.
Apakah Open Bite Bisa Hilang Sendiri?
Umumnya, tidak bisa hilang dengan sendirinya dan membutuhkan intervensi ortodontik.
Bagaimana Dokter Mendiagnosisnya?
Dokter gigi bisa melihat open bite melalui pemeriksaan visual dan röntgen gigi. Riwayat kebiasaan seperti mengisap jempol atau menjulurkan lidah juga akan ditanyakan.

5. Apakah Open Bite Bisa Menyebabkan Masalah Lain?
Masalah Mengunyah
Khususnya pada posterior open bite, pasien kesulitan mengunyah yang bisa berdampak pada masalah pencernaan atau gizi.
Masalah Bicara
Bisa menyebabkan cadel atau kesulitan mengucapkan huruf tertentu.
Bernapas Lewat Mulut
Open bite sering kali membuat bibir tidak bisa menutup rapat, menyebabkan pernapasan lewat mulut yang bisa berdampak negatif bagi kesehatan mulut dan saluran napas.
Gangguan Sendi Rahang (TMJ)
Bisa memberikan tekanan tambahan pada sendi rahang, menyebabkan nyeri, sakit kepala, dan kesulitan membuka atau menutup mulut.
Apakah Bisa Semakin Parah?
Ya, jika tidak ditangani, open bite bisa menjadi lebih buruk seiring waktu dan membutuhkan perawatan yang lebih kompleks di kemudian hari.
